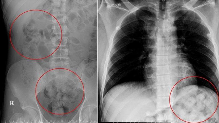
Van’dan İstanbul’a giden bir yolcu otobüsünde seyahat eden yabancı uyruklu Zadeh Ahmed Narziveh, araç Ankara şehirlerarası otobüs terminali AŞTİ’ye vardığında fenelaştı. Durumunun bildirilmesi üzerine gelen 112 Acil Servis ekiplerince ilk müdahalesi yapılan Narziveh, ardından ambulans ile şehir hastanesine kaldırıldı. Narziveh’in, hastanede çekilen röntgeninde midesinde uyuşturucu kapsülleri görülünce Narkotik polis ekiplerine bilgi verildi. Hastaneye gelen Narkotim ekiplerinin gözetiminde ameliyata alınan Narziveh’in midesinde 2’si patlamış, 72 kapsül halinde 890 gram uyuşturucu madde metamfetamin çıkarıldı.
İRAN’DAN GETİRİLMİŞ
Narkotim ekiplerinin gözetiminde 5 gün hastanede tedavi gören Narziveh, iyileşince hastaneden taburcu edildikten sonra, gözaltına alınarak emniyete götürüldü. Yapılan sorgusunda “susma” hakkını kullanan Narziveh, ifade vermedi. Narkotim ekipleri, Narziveh’in bağlantılarını belirlemek, uyuşturucuyu kimden aldığı, nereye götürdüğünü ortaya çıkarmak için çalışma başlattı. Yapılan incelemelerde Narziveh’in İstanbul’dan Van’a gittiği, burada İran üzerinden Türkiye’ye sokulan uyuşturucu kapsüllerini yuttuğu belirlendi. Narziveh’in, midesindeki 1 kiloya yakın uyuşturucuyla Van’dan otobüse binerek İstanbul’a gitmek için yola çıktığı kaydedildi.





